我校第二医院心胸外科实施高难度手术救治重症心脏恶液质患者
稿件来源:第二医院 发布时间:2024-06-06 点击次数:
近日,我校第二医院心胸外科马捷主任医师团队成功为一名重症心脏瓣膜病合并感染性心内膜炎和先心病并进入心脏恶液质状态的患者实施了心脏手术。

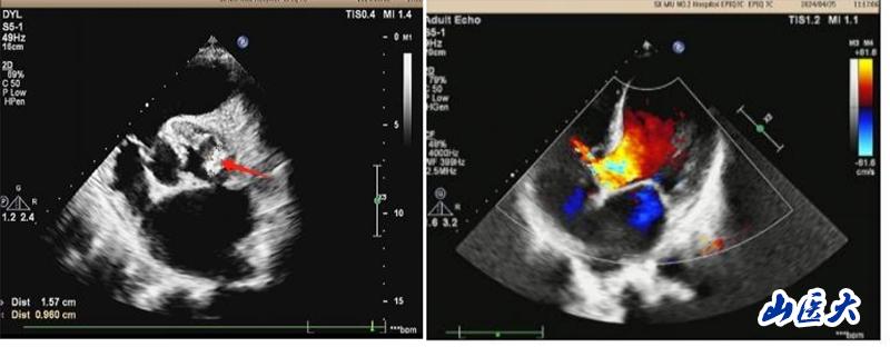
患者系一名中年男性,20余年前在当地医院体检发现心脏杂音,但未进一步诊治。2024年3月初开始间断出现发热、胸闷、气短,体温高达38.5℃,伴咳嗽、咳白色痰液,不能平卧休息,伴双下肢水肿、食欲不振,就诊于我校第二医院心血管内科。行心脏彩超等辅助检查后诊断为:感染型心内膜炎、主动脉瓣赘生物,主动脉瓣二瓣化畸形伴重度关闭不全,二尖瓣中度关闭不全,室间隔缺损,肺动脉高压。布氏杆菌感染进一步加重了心功能衰竭。心血管内科周荣副主任医师为其制定了精细的治疗方案,给予抗感染、利尿等多种措施治疗后,患者上述症状稍缓解,但须手术治疗方能彻底痊愈。

患者转入心胸外科后,马捷主任医师根据患者病史长、心功能差、合并多个瓣膜病变和长期心内分流畸形的病情特点,为其制定了个体化的诊疗方案,积极调整患者心、肺功能,改善营养状态,创造手术机会。5月14日,马捷主任医师、李强副教授团队在麻醉科、手术室等多学科的密切配合下,为患者成功实施了心脏手术:切除病变的主动脉瓣、植入主动脉机械瓣、行室间隔缺损修补术以及二尖瓣成形术。经过医护团队的不懈努力,以及患者和家属的积极配合,患者经受住了复杂心脏手术的风险,终获新生,体力、睡眠和食欲都恢复到正常人的水平,心脏恶液质得以逆转,目前即将痊愈出院。术后复查心脏超声,各瓣膜功能恢复良好。
(图文/马捷)
复审复校:王红
终审终校:侯小宝


















